产品中心

联系我们

  021-60960387

  sales@shgnsw.com

上海市奉贤区四团镇平港路883号

当前位置:首页 >> 产品中心

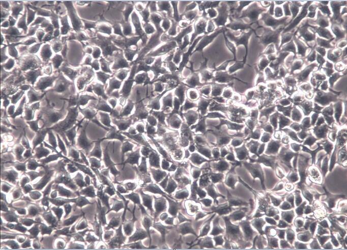
RD 人恶性胚胎横纹肌瘤细胞


货 号:CM-H073


规 格:1×10^6 cells/瓶


在线咨询
基本信息
产品编号 CM-H073
细胞名称 RD 人恶性胚胎横纹肌瘤细胞
生长特性 贴壁生长
形态特性 上皮样
产品规格 1×10^6 cells/瓶
培养条件 DMEM+10%FBS+1%P/S
生长条件 气相:5%CO2  95% 空气   温度:37 ℃
冻存条件 90%FBS+10%DMSO
背景资料 该细胞可能是TE671的母系。可产生肌红蛋白和肌球蛋白ATPase,可用作病毒检测。
备注 提供STR鉴定报告
说明资料

细胞说明书下载.pdf



友情链接: 丁香通     ATCC    DSMZ    ECACC    Cellosaurus     JCRB     RIKEN       中科院上海细胞库     中国国家实验细胞资源共享平台

沪公网安备 31011702000531号

      Copyright © 上海盖宁生物科技有限公司 2016 All Rights Reserved  ICP证: 沪ICP备16017771号-1

本司产品仅限于科研使用,不得用于临床诊断和治疗

客户服务热线

13120793060

微信客服


在线客服